-
Diagnostik Röntgen
Unsere Praxis bietet die Möglichkeit der modernen digitalen Diagnostik per Röntgen.Das installierte Sirona Orthophos SL 3D kann digitale Übersichtsaufnahmen, Orthopantomogramme…
-
Zahnpflege
Die regelmäßige Zahnpflege ist bei Kindern genauso wichtig, wie bei uns Erwachsenen. Insbesondere abends, nach der letzten Mahlzeit, sollten die…
-
Umgang mit Angst
Vereinbaren Sie Termine bitte möglichst zu Tageszeiten, zu denen Ihr Kind normalerweise „gut drauf“ ist. Bitte gestalten Sie den Tag…
-
Der erste Zahnarztbesuch
Gern begrüßen wir unsere kleinen Patienten in unserer Praxis bevor das erste Problem aufgetreten ist. So können sie sich an…
-
Die ersten Zähne sind da.
Der Zahndurchbruch hat begonnen? Jetzt sollten Sie auch mit der Pflege, der Reinigung dieser Zähne beginnen. Dazu gibt es entsprechend…
-
Der Erste Zahn
Die ersten Milchzähne kommen meist im Alter von 6 Monaten, zunächst in der Front. Danach kommen die weiteren Zähne meist…
-
Herausnehmbarer Zahnersatz
Man könnte fast sagen, dass es unzählige Möglichkeiten bei herausnehmbarem Zahnersatz gibt. Die Palette reicht hier von einem einfachen Modellguß…
-
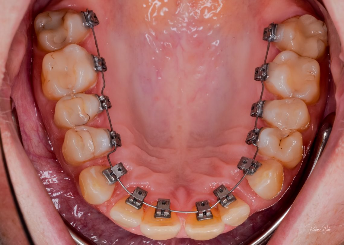
Kieferorthopädie
Möchte nicht jeder gerade zubeißen können und schöne gerade Zähne haben? Die Kieferorthopädie ist ein Teilgebiet der Zahnheilkunde. Es beschäftigt…
-
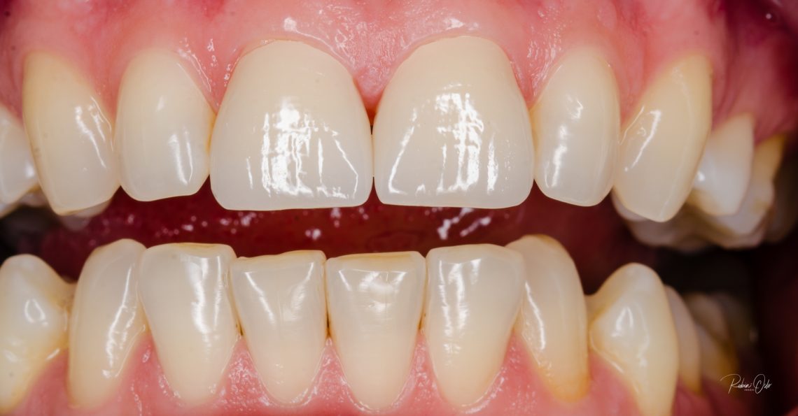
Kosmetische Zahnheilkunde
Die kosmetische Zahnheilkunde legt ihr besonderes Augenmerk auf ein harmonisches Aussehen der Zähne und des Mundes. Die Figur, die Augen…
-
Zahnersatz
Ein Zahn ist verloren gegangen, oder in seiner Substanz stark beschädigt? Wir erhalten Ihnen die Lebensqualität, in dem wir diese…







